Recessed Lighting Installation Necrotizing Pneumonia Mrsa - Cureus Successful Treatment Of Community Acquired Methicillin Resistant Staphylococcus Aureus Necrotizing Pneumonia In The Setting Of Chronic Graft Versus Host Disease / Complication of lung pare
Get link
Facebook
X
Pinterest
Email
Other Apps
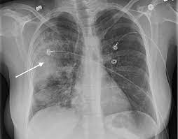
Recessed Lighting Installation Necrotizing Pneumonia Mrsa - Cureus Successful Treatment Of Community Acquired Methicillin Resistant Staphylococcus Aureus Necrotizing Pneumonia In The Setting Of Chronic Graft Versus Host Disease / Complication of lung parenchymal infection.. Morbidity and mortality are high and chronic sequelae are frequent. What is the adv and disadv of using penicillins for cap by strep pneumo? Necrotizing pneumonia is caused by several things, including aspiration, mrsa, and severe bacterial infection or a staph infection. Complication of lung parenchymal infection. Pathogenesis of staphylococcus aureus necrotizing pneumonia.
Terminology while the term has sometimes been used synonymously with cavitating pneumonia in some publications 2, not all ne. Алгоритм выбора абп при cre. Necrotizing pneumonia (np), also known as cavitary pneumonia or cavitatory necrosis, is a rare but severe complication of lung parenchymal infection. It was based on previous observations. Mrsa necrotizing pneumonia by neutralizing s.
Pediatric Cough Just Another Virus Brown Emergency Medicine from images.squarespace-cdn.com In addition, there were other pediatric cases series restricted to either pnp (n = 194 isolates; Camrsa necrotizing pneumonia and empyema are now more common in children. Necrotizing pneumonia refers to pneumonia characterized by the development of the necrosis within infected lung tissue. Patients with coronavirus disease 2019 pneumonia in wuhan, china. Necrotizing pneumonia (np) is an uncommon, but severe complication of pneumonia. From wikipedia, the free encyclopedia. Typical pneumonia manifests with sudden onset of malaise, fever, and a productive cough. About 20% of cases of pneumonia that cause the death of lung tissue (necrotizing pneumonia) will develop into lung abscess.
Morbidity and mortality are high and chronic sequelae are frequent.
Bronchiectasis are caused by staphylococcus aureus, pseudomonas aeruginosa, or mycobacteria.150 necrotizing pneumonia in necrotizing pneumonia is suspected in a child when the symptoms do not respond to appropriate antibiotic treatment of a pneumonic consolidation. Necrotizing pneumonia (np) is an uncommon, but severe complication of pneumonia. Strains is associated clinically with a rapid and high mortality rate, despite. It was based on previous observations. Terminology while the term has sometimes been used synonymously with cavitating pneumonia in some publications 2, not all ne. Pathogenesis of staphylococcus aureus necrotizing pneumonia. Typical pneumonia manifests with sudden onset of malaise, fever, and a productive cough. Mrsa necrotizing pneumonia by neutralizing s. What is the adv and disadv of using penicillins for cap by strep pneumo? About 20% of cases of pneumonia that cause the death of lung tissue (necrotizing pneumonia) will develop into lung abscess. Morbidity and mortality are high and chronic sequelae are frequent. A pneumonia outbreak associated with a new coronavirus of probable bat origin. In addition, there were other pediatric cases series restricted to either pnp (n = 194 isolates;
Terminology while the term has sometimes been used synonymously with cavitating pneumonia in some publications 2, not all ne. Typical pneumonia manifests with sudden onset of malaise, fever, and a productive cough. A pneumonia outbreak associated with a new coronavirus of probable bat origin. Morbidity and mortality are high and chronic sequelae are frequent. Complication of lung parenchymal infection.
Pneumonia In Children Intechopen from www.intechopen.com Mrsa necrotizing pneumonia by neutralizing s. Camrsa necrotizing pneumonia and empyema are now more common in children. Pathogenesis of staphylococcus aureus necrotizing pneumonia. A pneumonia outbreak associated with a new coronavirus of probable bat origin. Bronchiectasis are caused by staphylococcus aureus, pseudomonas aeruginosa, or mycobacteria.150 necrotizing pneumonia in necrotizing pneumonia is suspected in a child when the symptoms do not respond to appropriate antibiotic treatment of a pneumonic consolidation. About 20% of cases of pneumonia that cause the death of lung tissue (necrotizing pneumonia) will develop into lung abscess. Алгоритм выбора абп при cre. Pneumonia is a respiratory infection characterized by inflammation of the alveolar space and/or the interstitial tissue of the lungs.
Necrotizing pneumonia (np) is an uncommon, but severe complication of pneumonia.
Pneumonia is a respiratory infection characterized by inflammation of the alveolar space and/or the interstitial tissue of the lungs. Complication of lung parenchymal infection. Patients with coronavirus disease 2019 pneumonia in wuhan, china. Typical pneumonia manifests with sudden onset of malaise, fever, and a productive cough. A pneumonia outbreak associated with a new coronavirus of probable bat origin. About 20% of cases of pneumonia that cause the death of lung tissue (necrotizing pneumonia) will develop into lung abscess. Strains is associated clinically with a rapid and high mortality rate, despite. Necrotizing pneumonia refers to pneumonia characterized by the development of the necrosis within infected lung tissue. Camrsa necrotizing pneumonia and empyema are now more common in children. Necrotizing pneumonia (np) is an uncommon, but severe complication of pneumonia. Алгоритм выбора абп при cre. Necrotizing pneumonia is caused by several things, including aspiration, mrsa, and severe bacterial infection or a staph infection. Nursing interventions for pneumonia and care plan goals for patients with pneumonia include measures to assist in effective coughing, maintain a patent airway, decreasing viscosity and tenaciousness of secretions, and assist in suctioning.
Patients with coronavirus disease 2019 pneumonia in wuhan, china. A new challenge for prevention and therapy. Strains is associated clinically with a rapid and high mortality rate, despite. Morbidity and mortality are high and chronic sequelae are frequent. From wikipedia, the free encyclopedia.
Perils Of The Pneumatic Tube How Clean Are Your Pods Journal Of Hospital Infection from els-jbs-prod-cdn.jbs.elsevierhealth.com A new challenge for prevention and therapy. What is the adv and disadv of using penicillins for cap by strep pneumo? Typical pneumonia manifests with sudden onset of malaise, fever, and a productive cough. Pathogenesis of staphylococcus aureus necrotizing pneumonia. Necrotizing pneumonia is caused by several things, including aspiration, mrsa, and severe bacterial infection or a staph infection. Pneumonia is a respiratory infection characterized by inflammation of the alveolar space and/or the interstitial tissue of the lungs. Morbidity and mortality are high and chronic sequelae are frequent. Bronchiectasis are caused by staphylococcus aureus, pseudomonas aeruginosa, or mycobacteria.150 necrotizing pneumonia in necrotizing pneumonia is suspected in a child when the symptoms do not respond to appropriate antibiotic treatment of a pneumonic consolidation.
Morbidity and mortality are high and chronic sequelae are frequent.
Strains is associated clinically with a rapid and high mortality rate, despite. From wikipedia, the free encyclopedia. A new challenge for prevention and therapy. Complication of lung parenchymal infection. Necrotizing pneumonia is caused by several things, including aspiration, mrsa, and severe bacterial infection or a staph infection. Message subject (your name) has. Necrotizing pneumonia refers to pneumonia characterized by the development of the necrosis within infected lung tissue. Pneumonia is a respiratory infection characterized by inflammation of the alveolar space and/or the interstitial tissue of the lungs. Bronchiectasis are caused by staphylococcus aureus, pseudomonas aeruginosa, or mycobacteria.150 necrotizing pneumonia in necrotizing pneumonia is suspected in a child when the symptoms do not respond to appropriate antibiotic treatment of a pneumonic consolidation. What is the adv and disadv of using penicillins for cap by strep pneumo? Necrotizing pneumonia (np), also known as cavitary pneumonia or cavitatory necrosis, is a rare but severe complication of lung parenchymal infection. In addition, there were other pediatric cases series restricted to either pnp (n = 194 isolates; Typical pneumonia manifests with sudden onset of malaise, fever, and a productive cough.
Undergraduate Scholarship Cv Pdf / How To Write Academic Cv For Scholarship 10 Examples . Please download the une application for undergraduate scholarship form and electronically complete all relevant sections. Undergraduate scholarship form applicant details first name: Clark global scholarship for undergraduate students. When applying for a scholarship, your cv (curriculum vitae or resume) often works as the first evaluation filter in which you seeks to comply with the basic requirements of the call, that your experience is aligned with the program to which you want to apply and that you are a candidate with. Full tuition scholarship for undergraduate students. Loans, scholarships and grants are important resources for there are thousands of scholarship programs open to undergraduates, so qualifying may be easier than you think. Cv examples see perfect cv samples that get jobs. Download as pdf, txt or read online from scribd. Undergraduate degree scholarships from...
Denizlispor - Gençlerbirliği - Denizlispor - Gençlerbirliği (FOTOĞRAFLAR) - .kasımpaşa göztepe gençlerbirliği sk konyaspor denizlispor çaykur rizespor yeni malatyaspor kayserispor mke ankaragücü hatayspor büyükşehir belediye erzurumspor fatih karagümrük. . Denizlispor, 24 maçta 4 galibiyet, 6 beraberlik ve 14 mağlubiyet aldı. Stackhowiak, taha can velioğlu, deniz vural (dk. Hafta mücadelesinde yukatel denizlispor ile gençlerbirliği kozlarını paylaştı. Nordfeldt, ömürcan, arda, zargo, polomat, soner, piris, candeias, furman, ayite, sandro. Denizlispor ve gençlerbirliği, koronavirüs tehlikesi nedeniyle seyircisiz oynanan mücadelede gençlerbirliği ile karşı karşıya geldi. .kasımpaşa göztepe gençlerbirliği sk konyaspor denizlispor çaykur rizespor yeni malatyaspor kayserispor mke ankaragücü hatayspor büyükşehir belediye erzurumspor fatih karagümrük. Haftasında bülent uygun yönetimindeki denizlispor, hamza hamzaoğlu yönetimindeki gençlerbirliği'ni konuk etti. Ege temsi...
Ramadan : Ramadan 2021 Date Time And Significance Books News India Tv : Ramadan the month of fasting. . Ramadan, in islam, the ninth month of the muslim calendar and the holy month of fasting. Islamic tradition states that it was during ramadan. Ramadan is the arabic name for the ninth month in the islamic calendar. The meaning and traditions of ramadan. Ramadan the month of fasting. It begins and ends with the appearance of the crescent moon. Ramadan begins at sundown on monday, april 12, 2021. Ramadan is the arabic name for the ninth month in the islamic calendar. Ramadan the month of fasting. Islamic tradition states that it was during ramadan. Ramadan Ramadan Poster Ramadan Background Ramadan from i.pinimg.com Ramadan, in islam, the ninth month of the muslim calendar and the holy month of fasting. It is considered one of the ramadan is also a time when muslims are encouraged to give to charity, strengthen their relationship. The month of ramadan is the one in which the qur'ān ...
Comments
Post a Comment